Махачкала ваш город?
Да
Выбрать другой город

УЗИ-аппарат
Mindray DC-40

В наличии
Mindray DC-40 - передовая УЗ-станция с выдающимися возможностями в области медицинской диагностики. Компания Mindray разработала это устройство с учетом высоких требований врачей к качеству изображения и быстродействию. DC-40 обеспечивает высокое качество изображения и точность диагностики, что является необходимым в повседневной практике врачей. Технологии, применяемые в этом устройстве, позволяют получать четкое и детализированное изображение.
Лизинг
Доставка и лизинг по всей России
Включая Дагестан, Чечню и Крым
Гарантия
Гарантия на медицинское оборудование от производителя!
Послепродажный сервис
Инженерная поддержка
Инструктаж по монтажу и обучение персонала включены в стоимость
Гибкие условия
Оперативная доставка
Лизинг и доставка оборудования в наличии от 1 рабоего дня

Технологии iBeam, iClear и iScape, применяемые в DC-40, позволяют получать объемные изображения высокого качества без помех и зернистости в зоне сигнала. Панорамная визуализация с расширенным обзором анатомических структур решает проблемы сложных диагнозов, которые ранее создавали значительные трудности в ультразвуковой диагностике.

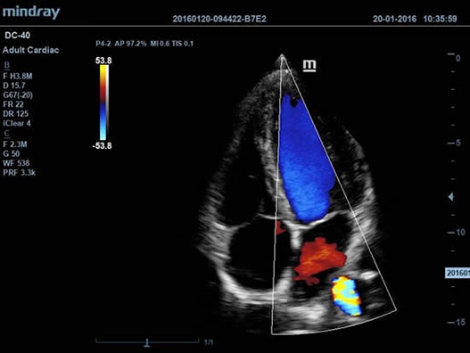
DC-40 имеет особое применение в кардиологической практике, благодаря функции Free Xros CM. Она позволяет отслеживать движения сердечной мышцы в различных фазах и одновременно определять синхронизацию миокарда. Это существенно повышает точность диагноза.

Инженеры предусмотрели быстрый обмен данными между УЗИ-сканером и смартфонами. Просто установите соответствующее приложение и произведите необходимые манипуляции. Изучайте историю обследований ваших пациентов вне клиники и принимайте обоснованные врачебные решения с помощью Mindray DC-40. Благодаря MedSight результаты клинических исследований всегда будут под рукой.

УЗИ-аппарат DC-40 - это передовое медицинское оборудование, которое на протяжении многих лет поможет решать проблемы ваших пациентов, предоставляя готовые и точные диагнозы, выявляя даже самые серьезные патологии на ранних стадиях развития.

DC-40 обладает рядом технических возможностей:

  • Функция фазовой гармоники PSH обеспечивает гармоническую визуализацию с фазовым сдвигом, повышая контрастное разрешение и четкость изображения при низком уровне шума.
  • Технология iBeam использует несколько углов сканирования для формирования улучшенного визуализации изображения.
  • Технология iClear обеспечивает более четкое отображение краев и контуров, однородное качество визуализации и снижение зернистости в областях без эхо-сигнала.
  • Технология формирования мульти-луча использует до четырех принимающих элементов на каждый излученный ультразвуковой сигнал, что позволяет достичь улучшенного разрешения и повышенной частоты кадров.
  • Функция эластографии Natural Touch позволяет проводить эластографические исследования.
  • Технология iScape обеспечивает панорамную визуализацию с расширенным обзором анатомических структур и индикатором скорости, а также удобную функцию сканирования по принципу "вперед/назад".
  • Функция контрастной визуализации UWN использует нелинейную визуализацию в широком диапазоне для контрастной эхографии, повышая чувствительность ко вторичным сигналам.
  • Технология ExFOV обеспечивает детализированную визуализацию анатомических структур на всех типах датчиков.
  • Функция B-Steer улучшает визуализацию иглы для биопсии, а также нервных волокон и мелких сосудов.
  • Функции анатомического режима Free Xros M и Free Xros CM позволяют точно расчитывать анатомические параметры и отслеживать движения сердечной мышцы.
  • Тканевый доплер TDI позволяет контролировать количественные скоростные показатели.
  • Программный пакет iScan Helper предоставляет специализированные обучающие программы, иллюстрации с анатомическими диаграммами и функцию сравнения эхограмм в реальном времени.
  • Функция Auto IMT автоматически измеряет толщину комплекса интима-медиа.
  • Функция Auto LV автоматически измеряет параметры левого желудочка с возможностью ручной коррекции.
  • Функция обработки сохраненных изображений позволяет настраивать параметры изображения, добавлять комментарии и данные измерений.
  • Функции iZoom и iTouch позволяют мгновенно переключаться в полноэкранный режим и автоматически оптимизировать изображение.
  • Функция iStorage позволяет передавать данные и отчеты на персональный компьютер, редактировать шаблоны для измерений и отчетности.
  • Функции IMeasurement и iReport предоставляют программное обеспечение для создания таблиц с измерениями и бланков отчетности.
  • Функция iStation позволяет работать с базой данных пациентов, включая просмотр, архивирование и поиск информации.
  • Медицинское приложение MedSight позволяет передавать клинические изображения и отчеты на смарт-устройства с помощью Wi-Fi.
  • Управление осуществляется через монитор с диагональю 15" или 17" и углом поворота 180°, сенсорный дисплей с диагональю 10.4" и настройкой угла наклона, привод DVD-RW, порт USB 3.0, эргономичная панель управления с настройками высоты, выдвижная QWERTY клавиатура, удобное расположение кабелей, разъемы для подключения датчиков, устройство для подогрева геля, держатель эндополостного датчика и встроенный аккумулятор для автономной работы.

Купить УЗИ аппарат Mindray DC-40

Компания Medicray специализируется на поставках медицинского оборудования в различные медицинские учреждения, включая клиники, медицинские и хирургические центры, стоматологические клиники и другие лечебно-профилактические учреждения. Мы гарантируем точное соблюдение сроков поставки, высокое качество нашего оборудования и наиболее оптимальные цены. Мы также всегда открыты для обсуждения индивидуальных условий сотрудничества. У нас вы найдете лучшие предложения на рынке!

Мы также предлагаем возможность приобрести оборудование в лизинговую программу, сотрудничая с несколькими лизинговыми компаниями:

  • Вы оставляете заявку на приобретение.
  • Наш менеджер подготавливает предложение, включающее информацию о требуемом оборудовании и графике платежей.
  • Вы получаете одобрение от лизинговой компании и заключаете договор лизинга.
  • Лизинговая компания приобретает оборудование и передает его вам в лизинг.
  • Вы начинаете использовать медицинское оборудование.
  • Регулярно производите платежи по лизингу, и по окончании договора оборудование переходит в вашу собственность.

Чтобы получить выгодную цену и наилучшие условия финансирования, сейчас же звоните по телефону 8 800 700 21 33. Лучше не откладывать! Оставьте заявку на коммерческое предложение по аппарату Mindray DC-40.

Технические характеристики
Диагональ монитора:
17 дюйм
Диагональ командной сенсорной панели:
10.4 дюйм
Жесткий диск:
1000 ГБ
Тип аппарата:
Стационарный
Эластография:
Нет
Класс аппарата:
Средний
Поддерживаемые датчики:
Высокоплотные
Количество портов:
4
Страна производитель:
Китай
Бренд:
Mindray
Категория:
Общая визуализация
Доступные опции
Трехмерная реконструкция ЦДК:
Нет
Объемное сканирование:
Нет
Трехмерная реконструкция методом свободной руки:
Нет
Эластография сдвиговой волной/Эластометрия:
Нет
Недопплеровская визуализация кровотока:
Нет
Тканевой допплер:
Нет
Направленный энергетический допплер:
Нет
Энергетический допплер:
Нет
Высокочастотный импульсный допплер:
Нет
Цветовой допплер:
Нет
Постоянно-волновой допплер:
Нет
Импульсно-волновой допплер:
Нет
Анатомический М-режим:
Нет
Панорамное сканирование:
Нет
Режим B-сканирования с отклонением угла:
Нет
Трапециевидное сканирование/Виртуальный конвекс:
Нет
Триплексное сканирование:
Нет
Дуплексное сканирование:
Нет
Цветной M-режим:
Нет
M-режим:
Нет
B-режим, Двухмерное сканирование:
Нет
Область применения
Общая визуализация:
Да
Компоненты дополнительной поставки
4D:
Да
TDI QA:
Да
Smart Bladder:
Да
UWN Contrast Imaging:
Да
Natural Touch Elastography:
Да
Pedoff Probe Port:
Да
iPower:
Да
ECG Module (ICE):
Да
CW Module:
Да
iPage :
Да
UWN Contrast Imaging:
Да
iLive:
Да
Онлайн калькулятор
Цена
Ориентировочная цена модели
Аванс
10% 100%
 
Срок лизинга
12 месяцев 36 месяцев
 
Ежемесячный платёж
Первоначальный взнос
* Рассчет платежа носит информационный характер и не является публичной офертой.
Условия лизинга индивидуальны для каждого договора.
Условия лизинга
  • По всей России (Включая Крым, Дагестан и Чечню)
  • Авансовый платеж от 10% (для УЗИ брендов GE, Mindray и Samsung)
  • Оформление лизинга от 48 часов
  • Возможность досрочного погашения
  • Лизинг оборудования от 1 года

Mindray DC-40 - базовая конфигурация

  • 17-дюймовый ЖК-монитор высокого разрешения;
  • Командный сенсорный экран 10.4" с возможностью регулировки угла наклона;
  • Импульсно-волновой доплер (PW), включая режим доплеровского сканирования с высокой частотой повторения импульсов (HPRF);
  • Цветной доплер (Color Doppler);
  • Цветной М–режим;
  • Энергетический доплер (Power Doppler);
  • Направленный доплер (Directional Power Doppler);
  • Технология частотного компаундинга (Frequency compounding imaging);
  • PSH™ (Phase Shift Harmonic Imaging) - гармоническая визуализация со смещением фаз;
  • Режим "виртуального конвекса" на линейных датчиках;
  • iClear™ - технология, подавляющая помехи (артефакты) и обеспечивающая получений четких ультразвуковых изображений высокого разрешения для 2D-режима;
  • iBeam™ - режим многолучевого компаундинга;
  • iTouch™ - автоматическая оптимизация изображения;
  • iZoom™ (Full Screen View) - полноэкранный режим ультразвукового изображения;
  • 1 ТБ жесткий диск с программой ведения базы данных пациента iStation™;
  • iScanHelper – программное обеспечение со специализированной встроенной системой с обучающим обширным материалом;
  • Raw Data – технология сохранения необработанных ("сырых") данных для дальнейшего исследования;
  • Shared Service Package - предустановленные параметры, аннотации, маркеры, программы измерений для абдоминальных исследований, акушерства, гинекологии, кардиологии, ангиологии, исследований малых органов, урологии, педиатрии, неотложной медицины;
  • DVD-R/W и USB-порты (4 шт.);
  • 4 разъема для подключения датчиков (штатная схема подключения: 3 обычных + 1 высокоплотный);
  • Многоязычный интерфейс (8 языков, в т.ч. русский);
  • MedSight™ - передача информации на электронные устройства пациента (доступна для операционных систем IOS/Android, опция DICOM Вasic на ультразвуковом сканере необходима для работы с устройствами на IOS );
  • Держатель для внутриполостного датчика (по умолчанию с левой стороны сканера, если его - расположение нужно справой стороны - выберите опцию "Right" перед заказом);
  • Smart Installment Reminder - система интеллектуальных оповещений;
  • Auto IMT Package – измерения и анализ толщины комплекса интимамедии (КИМ) сонной артерии;
  • iScape™ View - панорамное сканирование – отображение на экране объектов большой протяженности (одновременное отображение на экране крупных объемных образований, структур и органов на большом протяжении и т.д.) с возможностью проведения расчетов и измерений;
  • Smart 3D™ – получение трехмерного (3D) ультразвукового изображения методом свободной руки без использования объемных датчиков;
  • Smart OB™ - программа автоматического расчета с возможностью ручного редактирования основных акушерских показателей: БПР, ДБ, ОГ, ЛЗР, с использованием алгоритмов автоматического оконтуривания и распознавания границ органов. (требуется наличие пакета программ измерений и расчетов OB);
  • Smart NT - программа для автоматического определения и расчета толщины воротникового пространства у плода (требуется наличие пакета программ измерений и расчетов OB);
  • TDI (Tissue Doppler imaging, including TDI Color, Power, PW and M mode) – пакет тканевой допплерографии, включая цветное картирование, импульсный тканевой допплер, энергетический тканевой допплер и тканевой М-режим;
  • Free Xros M™ - анатомический М-режим - это возможность вращения курсора в М-режиме под произвольным углом (при фиксированном положении датчика) и, соответственно, получения графика движения структур сердца в различных произвольных плоскостях;
  • Free Xros CM™ - огибающий анатомический М-режим;
  • DICOM Basic - базовый набор опций DICOM: сохранение на сервер и медиа-носители, печать.

  • Секторный фазированный ультразвуковой датчик Mindray CW5s
  • Мультичастотный линейный датчик Mindray L14-6
  • Линейный ультразвуковой датчик Mindray L12-3E
  • Высокочастотный линейный датчик 38 мм Mindray l14-6NE
  • Микроконвексный внутриполостной датчик Mindray V10-4B
  • Эндоректальный биплановый датчик Mindray CB10-4E
  • Внутриполостной датчик Mindray V11-3
  • Секторный фазированный датчик Mindray P7-3
  • Секторный фазированный датчик Mindray P4-2
Давайте обсудим
Покупку или лизинг
медицинского оборудования